CÁC HÌNH THỨC SIÊU ÂM THAI TRONG THAI KỲ
I. SIÊU ÂM DÒ ÂM ĐẠO
Là loại siêu âm sử dụng loại đầu dò đặc biệt (nhỏ và dài) để đưa vào trong âm đạo, nhằm quan sát rõ nhất các cấu trúc của tử cung – phần phụ, vì đầu dò được đưa vào sát cổ tử cung. Đây là kĩ thuật được ưu tiên trong đánh giá và chẩn đoán thai nhỏ, vì kích thước thai nhỏ, cần một kĩ thuật có độ phân giải cao.
Khác với các kĩ thuật siêu âm đường bụng, kĩ thuật này sản phụ cần đi tiểu hết trước khi siêu âm để bàng quang không chèn vào tử cung phần phụ, giúp quan sát được rõ hơn.
Kĩ thuật có thể được thực hiện từ khi người phụ nữ có dấu hiệu chậm kinh, đến khi thai 12 tuần tuổi, giúp đánh giá xem thai đã vào buồng tử cung hay chưa, số lượng thai là bao nhiêu, có tim thai chưa và tần số tim thai như thế nào, đo kích thước phôi thai để đưa ra dự kiến sinh; ngoài ra siêu âm đầu dò còn đánh giá được tình trạng bánh rau, dây rốn, túi thai, hay các bất thường như tụ dịch – tụ máu dưới màng nuôi, dọa sảy thai, thai ngoài tử cung… Từ đó, các bác sĩ có thể chẩn đoán và xử trí kịp thời cho sản phụ, tránh các biến chứng nguy hiểm.

Siêu âm thai bằng đầu dò âm đạo có thể phát hiện được túi thai khi kích thước còn rất nhỏ
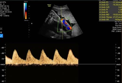
II. Siêu âm thai 2D – Doppler màu
Là kĩ thuật siêu âm đường bụng sử dụng đầu dò 2D để đánh giá các giá trị sinh trắc của thai như: chiều dài đầu mông, đường kính lưỡng đỉnh, chu vi đầu, chu vi bụng, chiều dài xương đùi; từ đó ước lượng được trọng lương thai nhi, đánh giá tình trạng phát triển của thai so với tuần tuổi có bình thường không. Đồng thời đánh giá tình trạng tim thai, tình trạng bánh rau, ối cũng như các tổn thương khác mà siêu âm 2D – Doppler màu quan sát được, như tình trạng động mạch tử cung, động mạch não giữa, ống tĩnh mạch…
Đây là kĩ thuật thường được sử dụng khi thai được khoảng 10 tuần tuổi, khi đó kích thước thai tương đối lớn, có thể dễ dàng quan sát qua đường bụng. Đặc biệt trong những tuần cuối của thai kỳ, đây là kĩ thuật đầu tay để đánh giá tình trạng thai nhi trước khi chuyển dạ, vì lúc này thai đã quá to, không thể sử dụng siêu âm thai 4D-5D hoặc siêu âm đầu dò âm đạo. Trong những tuần cuối, bác sĩ sẽ siêu âm thai để ước lượng cận nặng, tiên lượng đẻ thường hay đẻ mổ, ngoài ra còn quan sát tình trạng dây rốn như quấn cổ, thắt nút…; tình trạng bánh rau như: vị trí bám, có tụ máu hay bong rau không…; tình trạng nước ối: thiểu ôi, bình thường hay đa ối.

Siêu âm thai 2D – Doppler màu có thể đánh giá tình trạng dây rốn
III. Siêu âm thai 4D-5D
Sử dụng đầu dò 4D-5D để dựng lên hình ảnh 3 chiều của em bé, chuyển động theo thời gian thực là kĩ thuật siêu âm 4D-5D. Kĩ thuật này đòi hỏi bác sĩ có chuyên môn cao, khéo léo và cẩn thận, tỉ mỉ cũng như hệ thống máy móc hiện đại, để đánh giá chi tiết các cơ quan bộ phận của thai nhi. Những thời điểm được khuyến cáo nên đi siêu âm thai 4D-5D là
- Mốc thứ nhất: khoảng từ tuần 10 đến tuần 14, siêu âm thai đánh giá chính xác tuổi thai, đưa ra dự kiến sinh cũng như một số cấu trúc cơ thể, phát hiện các bất thường hình thái cũng như các gợi ý về bất thường nhiễm sắc thể thai nhi như: không thấy xương mũi, tăng khoảng sáng sau gáy… Siêu âm thai 4D quý I còn kết hợp với xét nghiệm Double test để dự đoán nguy cơ bất thường nhiễm sắc thể cho em bé và kết hợp xét nghiệm đánh giá nguy cơ tiền sản giật cho bà mẹ trong thai kỳ đó.
- Mốc thứ hai: khoảng từ tuần 21 đến tuần 24, lúc này thai đã gần hoàn thiện các cơ quan – bộ phận trong cơ thể như hệ thần kinh, hệ tim mạch, cơ quan vận động… Siêu âm thai còn dựng được hình ảnh mặt của em bé, đánh giá cấu trúc môi – mũi – tai, đánh giá tay chân của em bé xem có đủ ngón hay không, tay chân có khoèo không. Siêu âm thai còn đánh giá cấu trúc tim – đại động mạch, loại trừ các bệnh lý tim bẩm sinh. Đồng thời còn đánh giá các cấu trúc khác như bánh rau, dây rốn, nước ối…
- Mốc thứ ba: khoảng từ tuần 28 đến tuần 34, đánh giá các cơ quan – bộ phân một lần nữa sau mốc tuần 22, phát hiện các bất thường xuất hiện muộn. Đánh giá cân nặng của thai, tốc độ tăng trưởng của thai, tình trạng rau – ối -dây rốn.

Siêu âm thai 4D giúp quan sát mặt của em bé tốt hơn
Để được tư vấn hỗ trợ cũng như đặt lịch khám với các Bác sĩ chuyên khoa, Quý khách vui lòng liên hệ trước theo:
Hotline: 0246 296 22 55
Zalo: 0868 232 525